Thoracic aortic aneurysm

Thoracic aortic aneurysm
Other namesAneurysm - thoracic aortic[1]
SpecialtyCardiology Edit this on Wikidata

A thoracic aortic aneurysm is an aortic aneurysm that presents primarily in the thorax.

A thoracic aortic aneurysm is the "ballooning" of the upper aspect of the aorta, above the diaphragm. Untreated or unrecognized they can be fatal due to dissection or "popping" of the aneurysm leading to nearly instant death. Thoracic aneurysms are less common than an abdominal aortic aneurysm.[2] However, a syphilitic aneurysm is more likely to be a thoracic aortic aneurysm than an abdominal aortic aneurysm. This condition is commonly treated via a specialized multidisciplinary approach with both vascular surgeons and cardiac surgeons.

Presentation

Thoracic aortic aneurysm with arrow marking the lateral border of the aorta

Complications

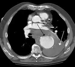
Contrast enhanced CT of a ruptured large (7 cm) thoracic aneurysm, with black arrow indicating the aorta, and white arrow blood in the thorax

The principal causes of death due to thoracic aneurysmal disease are dissection and rupture. Once rupture occurs, the mortality rate is 50–80%. Most deaths in patients with Marfan syndrome are the result of aortic disease.

Causes

There are a number of causes,[3] Aneurysms in patients younger than 40 usually involve the ascending aorta due to a weakening of the aortic wall associated with connective tissue disorders like the Marfan and Ehlers-Danlos syndromes or congenital bicuspid aortic valve. Younger patients may develop aortic aneurysms of the thoracoabdominal aorta after an aortic dissection. It can also be caused by blunt injury. Atherosclerosis is the principal cause of descending aortic aneurysms, while aneurysms of the aortic arch may be due to dissection, atherosclerosis, or inflammation.[4]

Age

The diagnosis of thoracic aortic aneurysm usually involves patients in their 60s and 70s.[5][4]

Risk factors

Hypertension and cigarette smoking are the most important risk factors, though the importance of genetic factors has been increasingly recognized. Approximately 10 percent of patients may have other family members who have aortic aneurysms. It is also important to note that individuals with a history of aneurysms in other parts of the body have a higher chance of developing a thoracic aortic aneurysm.[6]

Diagnosis

Aorta segments, with thoracic aorta in area marked in green

Thoracic aortic aneurysm is defined as a cross-sectional diameter exceeding the following cutoff:

A diameter of 3.5 cm is generally considered dilated.[7] However, average values vary with age and size of the reference population, as well as different segments of the aorta.

Upper limits of the standard reference range of the thoracic aorta in a United States population:[9]
Small and young Large and elderly
Ascending aorta 3.3 cm 4.3 cm
Descending aorta 2.3 cm 3.2 cm

Screening

Guidelines were issued in March 2010 for early detection of thoracic aortic disease, by the American College of Cardiology, the American Heart Association, and other groups. Among the recommendations:

  • First-degree relatives of people with thoracic aortic aneurysm or dissection should have aortic imaging to identify asymptomatic disease.
  • People with symptoms suggestive of thoracic aortic dissection should be routinely evaluated "to establish a pretest risk of disease that can then be used to guide diagnostic decisions."
  • People diagnosed with Marfan syndrome should immediately have an echocardiogram to measure the aorta and followed up six months later to check for aortic enlargement.[11]

Treatment

A stent graft placed in the thoracic aorta to treat a thoracic aortic aneurysm.

The size cut off for aortic aneurysm is crucial to its treatment. A thoracic aorta greater than 4.5 cm is generally defined as aneurysmal, while a size greater than 5.5 cm is the distinction for treatment, which can be either endovascular or surgical, with the former reserved for pathology at the descending aorta.[12][13]

Indication for surgery may depend upon the size of the aneurysm. Aneurysms in the ascending aorta may require surgery at a smaller size than aneurysms in the descending aorta.[14]

Treatment may be via open or via endovascular means. Open surgical repair remains the gold standard for thoracoabdominal aortic aneurysm treatment, particularly in patients with connective tissues disease. Rates of postoperative spinal cord ischaemia can be kept at low levels after open surgical repair with the adequate precautions and perioperative maneuvers.[15]

Epidemiology

Each year in the United States, some 45,000 people die from diseases of the aorta and its branches. Acute aortic dissection, a life-threatening event due to a tear in the aortic wall, affects 5 to 10 patients per million population each year, most often men between the ages of 50 and 70; of those that occur in women younger than 40, nearly half arise during pregnancy. The majority of these deaths occur as a result of complications of thoracic aneurysmal disease[16]

References

  1. ^ "Thoracic aortic aneurysm: MedlinePlus Medical Encyclopedia". medlineplus.gov. Retrieved 29 May 2019.
  2. ^ Thoracic Aortic Aneurysm at eMedicine
  3. ^ Aneurysms: Aneurysms and Aortic Dissection at Merck Manual of Diagnosis and Therapy Home Edition
  4. ^ a b Golledge, J.; Norman, P. (June 2010). "Atherosclerosis and abdominal aortic aneurysm: Cause, response or common risk factors?". Arteriosclerosis, Thrombosis, and Vascular Biology. 30 (6): 1075–1077. doi:10.1161/ATVBAHA.110.206573. PMC 2874982. PMID 20484703.
  5. ^ "Abdominal Aortic Aneurysms". The Lecturio Medical Concept Library. 16 October 2020. Retrieved 2021-06-25.
  6. ^ Thoracic Aortic Disease - Northwestern Memorial Hospital. Thoracic Aortic Aneurysm Archived 2012-05-02 at the Wayback Machine
  7. ^ a b Bret P Nelson (2015-10-01). "Thoracic Aneurysm". Medscape. Retrieved 2017-04-16.
  8. ^ Cho, In-Jeong; Jang, Sung-Yeol; Chang, Hyuk-Jae; Shin, Sanghoon; Shim, Chi Young; Hong, Geu-Ru; Chung, Namsik (2014). "Aortic Aneurysm Screening in a High-Risk Population: A Non-Contrast Computed Tomography Study in Korean Males with Hypertension". Korean Circulation Journal. 44 (3): 162–169. doi:10.4070/kcj.2014.44.3.162. ISSN 1738-5520. PMC 4037638. PMID 24876857.
  9. ^ Wolak, Arik; Gransar, Heidi; Thomson, Louise E.J.; Friedman, John D.; Hachamovitch, Rory; Gutstein, Ariel; Shaw, Leslee J.; Polk, Donna; Wong, Nathan D.; Saouaf, Rola; Hayes, Sean W.; Rozanski, Alan; Slomka, Piotr J.; Germano, Guido; Berman, Daniel S. (2008). "Aortic Size Assessment by Noncontrast Cardiac Computed Tomography: Normal Limits by Age, Gender, and Body Surface Area". JACC: Cardiovascular Imaging. 1 (2): 200–209. doi:10.1016/j.jcmg.2007.11.005. ISSN 1936-878X. PMID 19356429.
  10. ^ "UOTW#64 - Ultrasound of the Week". Ultrasound of the Week. 25 November 2015. Retrieved 27 May 2017.
  11. ^ Hiratzka LF, Bakris GL, Beckman JA, et al. (April 2010). "2010 ACCF/AHA/AATS/ACR/ASA/SCA/SCAI/SIR/STS/SVM Guidelines for the diagnosis and management of patients with thoracic aortic disease. A Report of the American College of Cardiology Foundation/American Heart Association Task Force on Practice Guidelines, American Association for Thoracic Surgery, American College of Radiology, American Stroke Association, Society of Cardiovascular Anesthesiologists, Society for Cardiovascular Angiography and Interventions, Society of Interventional Radiology, Society of Thoracic Surgeons, and Society for Vascular Medicine". J. Am. Coll. Cardiol. 55 (14): e27 – e129. doi:10.1016/j.jacc.2010.02.015. PMID 20359588.
  12. ^ Makaroun MS, Dillavou ED, Kee ST, et al. (January 2005). "Endovascular treatment of thoracic aortic aneurysms: results of phase II multicenter trial of the GORE TAG thoracic endoprosthesis". J. Vasc. Surg. 41 (1): 1–9. doi:10.1016/j.jvs.2004.10.046. PMID 15696036.
  13. ^ Czerny, M; Schmidli, J; Adler, S; van den Berg, JC; Bertoglio, L; Carrel, T; Chiesa, R; Clough, RE; Eberle, B; Etz, C; Grabenwöger, M; Haulon, S; Jakob, H; Kari, FA; Mestres, CA; Pacini, D; Resch, T; Rylski, B; Schoenhoff, F; Shrestha, M; von Tengg-Kobligk, H; Tsagakis, K; Wyss, TR; Document, Reviewers; Chakfe, N; Debus, S; de Borst, GJ; Di Bartolomeo, R; Lindholt, JS; Ma, WG; Suwalski, P; Vermassen, F; Wahba, A; Wyler von Ballmoos, MC (February 2019). "Editor's Choice - Current Options and Recommendations for the Treatment of Thoracic Aortic Pathologies Involving the Aortic Arch: An Expert Consensus Document of the European Association for Cardio-Thoracic Surgery (EACTS) & the European Society for Vascular Surgery (ESVS)". European Journal of Vascular and Endovascular Surgery. 57 (2): 165–198. doi:10.1016/j.ejvs.2018.09.016. PMID 30318395. S2CID 52981551.
  14. ^ "Treatment Considerations related to Thoracic Aortic Aneurysm". Mayo Clinic. Retrieved 2010-10-23.
  15. ^ Sef, D; Thet, MS; Miskolczi, S; Velissaris, T; De Silva, R; Luthra, S; Turina, MI (1 June 2023). "Perioperative neuromonitoring during thoracoabdominal aortic aneurysm open repair: a systematic review". European Journal of Cardio-Thoracic Surgery. 63 (6). doi:10.1093/ejcts/ezad221. PMID 37233116.
  16. ^ Aggarwal, S.; Qamar, A; Sharma, V; Sharma, A (2011). "Abdominal aortic aneurysm: A comprehensive review". Experimental and Clinical Cardiology. 16 (1): 11–15. PMC 3076160. PMID 21523201.