Squamous intraepithelial lesion
.jpg)
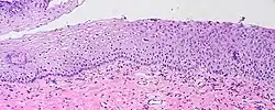
A squamous intraepithelial lesion (SIL) is an abnormal growth of squamous cells on the surface of the cervix; normal squamous cells make up the normal epithelium of the cervix. This lesion can progress to cervical cancer and can be diagnosed using a Pap smear or a colposcopy. It can be treated by using methods that remove the abnormal cells, allowing normal cells to grow in their place.[1] In the Bethesda system, the cytology can be graded as LSIL (low-grade squamous intraepithelial lesion) or HSIL (high-grade squamous intraepithelial lesion).
References
- ^ "Squamous intraepithelial lesion". MedFriendly. Retrieved 11 July 2009.