Sarcina (bacterium)

Sarcina
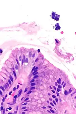
Gastric mucosa and Sarcina on upper right. H&E stain.
Scientific classification
Domain:
Phylum:
Class:
Order:
Family:
Genus:
Sarcina

Type species
Sarcina ventriculi
Goodsir, 1842[1]
Species
Synonyms
  • "Butyrisarcina" Kluyver & Van Niel 1936
  • "Urosarcina" (Miquel 1888) Miquel 1893
  • "Welchia" Pribram 1929 ex Prévot 1933
  • "Welchillus" Heller 1922
  • "Zymosarcina" Smit 1930

Sarcina is a genus of gram-positive cocci bacteria in the family Clostridiaceae.[2][3][4] A synthesizer of microbial cellulose,[5] various members of the genus are human flora and may be found in the skin [6] and large intestine.[7] The genus takes its name from the Latin word "sarcina," meaning pack or bundle, after the cuboidal (2x2x2) cellular associations they form during division along three planes.[8]

The genus's type species is Sarcina ventriculi, a variety found on the surface of cereal seeds, in soil, mud, and in the stomachs of humans, rabbits, and guinea pigs.[9]

Phylogeny

The currently accepted taxonomy is based on the List of Prokaryotic names with Standing in Nomenclature (LPSN)[1] and National Center for Biotechnology Information (NCBI)[10]

16S rRNA based LTP_10_2024[11][12][13] 120 marker proteins based GTDB 09-RS220[14][15][16]

Clostridium tarantellae

Sarcina

Clostridium tarantellae (Udey, Young & Sallman 1977) Lawson & Rainey 2016

S. ventriculi Goodsir 1842

Clostridium perfringens (Veillon & Zuber 1898) Holland 1920 ex Hauduroy et al. 1937

"Clostridium massiliamazoniense" Dione et al. 2020

"Clostridium mediterraneense" Ndongo et al. 2017

Species

See also

References

  1. ^ a b c J.P. Euzéby. "Sarcina". List of Prokaryotic names with Standing in Nomenclature (LPSN). Retrieved 2022-09-09.
  2. ^ "Sarcina". Random House Dictionary of the English Language. Random House. 2010. Retrieved 30 March 2010.
  3. ^ "Result of detail taxonomy information". TXSearch Taxonomy Retrieval. DNA Data Bank of Japan. 19 February 2010. Archived from the original on 22 July 2011. Retrieved 30 March 2010.
  4. ^ "Sarcina aurantiaca". Zipcode Zoo. Retrieved 30 March 2010.
  5. ^ P. Ross, R. Mayer, and M. Benziman (1991) "Cellulose biosynthesis and function in bacteria," Microbiol Mol Biol Rev, vol. 55, no. 1, pp. 35-58, Mar.
  6. ^ HOLT, R. J. (29 July 2006). "The Esterase and Lipase Activity of Aerobic Skin Bacteria". British Journal of Dermatology. 85 (1): 18–23. doi:10.1111/j.1365-2133.1971.tb07172.x. PMID 5557829. S2CID 28833614.
  7. ^ Crowther, J. S. (1 August 1971). "Sarcina Ventriculi In Human Faeces". Journal of Medical Microbiology. 4 (3): 343–350. doi:10.1099/00222615-4-3-343. PMID 5116255.
  8. ^ Michael J. Leboffe & Burton E. Pierce. A Photographic Atlas for the Microbiology Laboratory (4 ed.). p. 39.
  9. ^ "Sarcina ventriculi". Stedman's Medical Spellchecker. Lippincott Williams & Wilkins. 2006. Retrieved 31 March 2010.
  10. ^ Sayers; et al. "Sarcina". National Center for Biotechnology Information (NCBI) taxonomy database. Retrieved 2022-09-09.
  11. ^ "The LTP". Retrieved 10 December 2024.
  12. ^ "LTP_all tree in newick format". Retrieved 10 December 2024.
  13. ^ "LTP_10_2024 Release Notes" (PDF). Retrieved 10 December 2024.
  14. ^ "GTDB release 09-RS220". Genome Taxonomy Database. Retrieved 10 May 2024.
  15. ^ "bac120_r220.sp_labels". Genome Taxonomy Database. Retrieved 10 May 2024.
  16. ^ "Taxon History". Genome Taxonomy Database. Retrieved 10 May 2024.