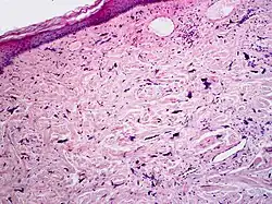
Pleomorphic fibromas of the skin usually present in adults, with a slight preponderance in women.[1]