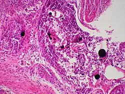
Mercury granuloma
| Mercury granuloma | |
|---|---|
![]() | |
| Cutaneous mercury granuloma is a rare disorder caused by the introduction of elemental Hg into skin. | |
| Specialty | Dermatology |
Mercury granulomas is the result of mercury exposure, a skin condition characterized by foreign-body giant cell reaction.[1]: 46
