Hypoplasia

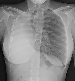
Chest X-ray showing pulmonary hypoplasia
Pulmonary hypoplasia

Hypoplasia (from Ancient Greek ὑπo- (hypo-) 'under' and πλάσις (plasis) 'formation'; adjective form hypoplastic) is underdevelopment or incomplete development of a tissue or organ.[1] Although the term is not always used precisely, it properly refers to an inadequate or below-normal number of cells.[2] Hypoplasia is similar to aplasia, but less severe. It is technically not the opposite of hyperplasia (too many cells). Hypoplasia is a congenital condition, while hyperplasia generally refers to excessive cell growth later in life. (Atrophy, the wasting away of already existing cells, is technically the direct opposite of both hyperplasia and hypertrophy.)

Hypoplasia can be present in any tissue or organ. It is descriptive of many medical conditions, including underdevelopment of organs such as:

See also

References

  1. ^ Definition: hypoplasia. Dictionary of Cell and Molecular Biology (11 March 2008)
  2. ^ Hypoplasia. Stedman's Medical Dictionary. lww.com