Erectile dysfunction

Erectile dysfunction
Other namesImpotence
SpecialtyUrology, sexual medicine, andrology, neurology
SymptomsInability to gain or maintain an erection
CausesLow testosterone levels,[1][2] certain prescription drugs,[3][4] neurogenic disorders[3][4][5][2]
Risk factorsCardiovascular disease, diabetes, smoking, stress,[6] mental disorders,[6] ageing,[1] high saturated fat diet,[7][8] kidney disease[9]
Diagnostic methodDepends if psychological or physiological; absence of involuntary erections suggests physiological[4]
Differential diagnosisHypogonadism,[4] prolactinoma[4]
PreventionAdequate exercise[10]
TreatmentPenis pump,[11] counseling (psychological treatment)[12]
MedicationSildenafil, Tadalafil, Vardenafil[13]

Erectile dysfunction (ED), also referred to as impotence, is a form of sexual dysfunction in males characterized by the persistent or recurring inability to achieve or maintain a penile erection with sufficient rigidity and duration for satisfactory sexual activity. It is the most common sexual problem in males and can cause psychological distress due to its impact on self-image and sexual relationships.

The majority of ED cases are attributed to physical risk factors and predictive factors. These factors can be categorized as vascular, neurological, local penile, hormonal, and drug-induced. Notable predictors of ED include aging, cardiovascular disease, diabetes mellitus, high blood pressure, obesity, abnormal lipid levels in the blood, hypogonadism, smoking, depression, and medication use. Approximately 10% of cases are linked to psychosocial factors, encompassing conditions such as depression, stress, and problems within relationships.[14]

The term erectile dysfunction does not encompass other erection-related disorders, such as priapism.

Treatment of ED encompasses addressing the underlying causes, lifestyle modification, and addressing psychosocial issues.[4] In many instances, medication-based therapies are used, specifically PDE5 inhibitors such as sildenafil.[13] These drugs function by dilating blood vessels, facilitating increased blood flow into the spongy tissue of the penis, analogous to opening a valve wider to enhance water flow in a fire hose. Less frequently employed treatments encompass prostaglandin pellets inserted into the urethra, the injection of smooth-muscle relaxants and vasodilators directly into the penis, penile implants, the use of penis pumps, and vascular surgery.[4][15]

ED is reported in 18% of males aged 50 to 59 years, and 37% in males aged 70 to 75.[14]

Signs and symptoms

ED is characterized by the persistent or recurring inability to achieve or maintain an erection of the penis with sufficient rigidity and duration for satisfactory sexual activity.[14] It is defined as the "persistent or recurrent inability to achieve and maintain a penile erection of sufficient rigidity to permit satisfactory sexual activity for at least 3 months."[4]

Psychological impact

ED often has an impact on the emotional well-being of both males and their partners.[14] Many males do not seek treatment due to feelings of embarrassment. About 75% of diagnosed cases of ED go untreated.[16]

Causes

Causes of or contributors to ED include the following:

Surgical intervention for a number of conditions may remove anatomical structures necessary to erection, damage nerves, or impair blood supply.[25] ED is a common complication of treatments for prostate cancer, including prostatectomy and destruction of the prostate by external beam radiation, although the prostate gland itself is not necessary to achieve an erection. As far as inguinal hernia surgery is concerned, in most cases, and in the absence of postoperative complications, the operative repair can lead to a recovery of the sexual life of people with preoperative sexual dysfunction, while, in most cases, it does not affect people with a preoperative normal sexual life.[33]

ED can also be associated with bicycling due to both neurological and vascular problems due to compression.[34] The increased risk appears to be about 1.7-fold.[35]

Concerns that use of pornography can cause ED[36] have little support[37][38] in epidemiological studies, according to a 2015 literature review.[39] According to Gunter de Win, a Belgian professor and sex researcher, "Put simply, respondents who watch 60 minutes a week and think they're addicted were more likely to report sexual dysfunction than those who watch a care-free 160 minutes weekly."[40][41]

In seemingly rare cases, medications such as SSRIs, isotretinoin (Accutane) and finasteride (Propecia) are reported to induce long-lasting iatrogenic disorders characterized by sexual dysfunction symptoms, including erectile dysfunction in males; these disorders are known as post-SSRI sexual dysfunction (PSSD), post-retinoid sexual dysfunction/post-Accutane syndrome (PRSD/PAS), and post-finasteride syndrome (PFS). These conditions remain poorly understood and lack effective treatments, although they have been suggested to share a common etiology.[42]

Pathophysiology

Penile erection is managed by two mechanisms: the reflex erection, which is achieved by directly touching the penile shaft, and the psychogenic erection, which is achieved by erotic or emotional stimuli. The former involves the peripheral nerves and the lower parts of the spinal cord, whereas the latter involves the limbic system of the brain. In both cases, an intact neural system is required for a successful and complete erection. Stimulation of the penile shaft by the nervous system leads to the secretion of nitric oxide (NO), which causes the relaxation of the smooth muscles of the corpora cavernosa (the main erectile tissue of the penis), and subsequently penile erection. Additionally, adequate levels of testosterone (produced by the testes) and an intact pituitary gland are required for the development of a healthy erectile system. As can be understood from the mechanisms of a normal erection, impotence may develop due to hormonal deficiency, disorders of the neural system, lack of adequate penile blood supply or psychological problems.[2]

Diagnosis

In many cases, the diagnosis can be made based on the person's history of symptoms. In other cases, a physical examination and laboratory investigations are done to rule out more serious causes such as hypogonadism or prolactinoma.[4]

One of the first steps is to distinguish between physiological and psychological ED. Determining whether involuntary erections are present is important in eliminating the possibility of psychogenic causes for ED.[4] Obtaining full erections occasionally, such as nocturnal penile tumescence when asleep (that is, when the mind and psychological issues, if any, are less present), tends to suggest that the physical structures are functionally working.[43][44] Similarly, performance with manual stimulation, as well as any performance anxiety or acute situational ED, may indicate a psychogenic component to ED.[4]

Another factor leading to ED is diabetes mellitus, a well known cause of neuropathy.[4] ED is also related to generally poor physical health, poor dietary habits, obesity, and most specifically cardiovascular disease, such as coronary artery disease and peripheral vascular disease.[4] Screening for cardiovascular risk factors, such as smoking, dyslipidemia, hypertension, and alcoholism, is helpful.[4]

In some cases, the simple search for a previously undetected groin hernia can prove useful since it can affect sexual functions in males and is relatively easily curable.[33]

The current – as of April 2025[45] – edition of the Diagnostic and Statistical Manual of Mental Disorders (DSM-5-TR) lists Erectile Disorder (ICD-10-CM code: F52.21) as a diagnosis.[46] According to the DSM, it "is the more specific DSM-5 diagnostic category in which erectile dysfunction persists for at least 6 months and causes distress in the individual."[46] The ICD-10, to which the DSM refers regarding Erectile dysfunction,[46] lists it under Failure of genital response (F52.2).[47] The latest edition of the ICD – namely, the ICD-11 – lists the condition as Male erectile dysfunction (HA01.1).

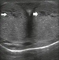
Ultrasonography

Transverse ultrasound image, ventral view of the penis. Image obtained after induction of an erection, 15 min after injection of prostaglandin E1, showing dilated sinusoids (arrows).[48]

Penile ultrasonography with doppler can be used to examine the erect penis. Most cases of ED of organic causes are related to changes in blood flow in the corpora cavernosa, represented by occlusive artery disease (in which less blood is allowed to enter the penis), most often of atherosclerotic origin, or due to failure of the veno-occlusive mechanism (in which too much blood circulates back out of the penis). Before the Doppler sonogram, the penis should be examined in B mode, in order to identify possible tumors, fibrotic plaques, calcifications, or hematomas, and to evaluate the appearance of the cavernous arteries, which can be tortuous or atheromatous.[48]

Erection can be induced by injecting 10–20 μg of prostaglandin E1, with evaluations of the arterial flow every five minutes for 25–30 min (see image). The use of prostaglandin E1 is contraindicated in patients with predisposition to priapism (e.g., those with sickle cell anemia), anatomical deformity of the penis, or penile implants. Phentolamine (2 mg) is often added. Visual and tactile stimulation produces better results. Some authors recommend the use of sildenafil by mouth to replace the injectable drugs in cases of contraindications, although the efficacy of such medication is controversial.[48]

Before the injection of the chosen drug, the flow pattern is monophasic, with low systolic velocities and an absence of diastolic flow. After injection, systolic and diastolic peak velocities should increase, decreasing progressively with vein occlusion and becoming negative when the penis becomes rigid (see image below). The reference values vary across studies, ranging from > 25 cm/s to > 35 cm/s. Values above 35 cm/s indicate the absence of arterial disease, values below 25 cm/s indicate arterial insufficiency, and values of 25–35 cm/s are indeterminate because they are less specific (see image below). The data obtained should be correlated with the degree of erection observed. If the peak systolic velocities are normal, the final diastolic velocities should be evaluated, those above 5 cm/s being associated with venogenic ED.[48]

Other workup methods

Penile nerves function
Tests such as the bulbocavernosus reflex test are used to ascertain whether there is enough nerve sensation in the penis. The physician squeezes the glans (head) of the penis, which immediately causes the anus to contract if nerve function is normal. A physician measures the latency between squeeze and contraction by observing the anal sphincter or by feeling it with a gloved finger in the anus.[49]
Nocturnal penile tumescence (NPT)
It is normal for a man to have five to six erections during sleep, especially during rapid eye movement (REM). Their absence may indicate a problem with nerve function or blood supply in the penis. There are two methods for measuring changes in penile rigidity and circumference during nocturnal erection: snap gauge and strain gauge. A significant proportion of males who have no sexual dysfunction nonetheless do not have regular nocturnal erections.
Penile biothesiometry
This test uses electromagnetic vibration to evaluate sensitivity and nerve function in the glans and shaft of the penis.[50]
Dynamic infusion cavernosometry (DICC)
Technique in which fluid is pumped into the penis at a known rate and pressure. It gives a measurement of the vascular pressure in the corpus cavernosum during an erection.
Corpus cavernosometry
Cavernosography measurement of the vascular pressure in the corpus cavernosum. Saline is infused under pressure into the corpus cavernosum with a butterfly needle, and the flow rate needed to maintain an erection indicates the degree of venous leakage. The leaking veins responsible may be visualized by infusing a mixture of saline and x-ray contrast medium and performing a cavernosogram.[51] In Digital Subtraction Angiography (DSA), the images are acquired digitally.
Magnetic resonance angiography (MRA)
This is similar to magnetic resonance imaging. Magnetic resonance angiography uses magnetic fields and radio waves to provide detailed images of the blood vessels. The doctor may inject into the patient's bloodstream a contrast agent, which causes vascular tissues to stand out against other tissues, so that information about blood supply and vascular anomalies is easier to gather.
Erection Hardness Score
The Erection Hardness Score (EHS) is a single-item Likert scale used to assess the subjective hardness of the penis as reported by the patient. It ranges from 0 (indicating the penis does not enlarge) to 4 (indicating the penis is completely hard and fully rigid). Developed in 1998, the EHS is widely used in clinical trials and is recognized for its ease of administration and strong association with sexual function outcomes. It has been validated across various causes of erectile dysfunction and in patients treated with phosphodiesterase type 5 inhibitors (PDE5), showing robust psychometric properties and responsiveness to treatment.[52]

Treatment

One ad from 1897 claims to restore "perfect manhood. Failure is impossible with our method".[53] Another "will quickly cure you of all nervous or diseases of the generative organs, such as Lost Manhood, Insomnia, Pains in the Back, Seminal Emissions, Nervous Debility, Pimples, Unfitness to Marry, Exhausting Drains, Varicocele and Constipation".[53] The U.S. Federal Trade Commission warns that "phony cures" exist even today.[54]

Treatment depends on the underlying cause. In general, exercise, particularly of the aerobic type, is effective for preventing ED during midlife.[10] Counseling can be used if the underlying cause is psychological, including how to lower stress or anxiety related to sex.[12] Medications by mouth and vacuum erection devices are first-line treatments,[10]: 20, 24  followed by injections of drugs into the penis, as well as penile implants.[10]: 25–26  Vascular reconstructive surgeries are beneficial in certain groups.[55] Treatments, other than surgery, do not fix the underlying physiological problem, but are used as needed before sex.[56]

Medications

The PDE5 inhibitors sildenafil (Viagra), vardenafil (Levitra) and tadalafil (Cialis) are prescription drugs which are taken by mouth.[10]: 20–21  As of 2018, sildenafil is available in the UK without a prescription.[57] Additionally, a cream combining alprostadil with the permeation enhancer DDAIP has been approved in Canada as a first line treatment for ED.[58] Penile injections, on the other hand, can involve one of the following medications: papaverine, phentolamine, and prostaglandin E1, also known as alprostadil.[10] In addition to injections, there is an alprostadil suppository that can be inserted into the urethra. Once inserted, an erection can begin within 10 minutes and last up to an hour.[12] Medications to treat ED may cause a side effect called priapism.[12]

Prevalence of medical diagnosis

In a study published in 2016, based on US health insurance claims data, out of 19,833,939 US males aged ≥18 years, only 1,108,842 (5.6%), were medically diagnosed with erectile dysfunction or on a PDE5I prescription (μ age 55.2 years, σ 11.2 years). Prevalence of diagnosis or prescription was the highest for age group 60–69 at 11.5%, lowest for age group 18–29 at 0.4%, and 2.1% for 30–39, 5.7% for 40–49, 10% for 50–59, 11% for 70–79, 4.6% for 80–89, 0.9% for ≥90, respectively.[59]

Focused shockwave therapy

Focused shockwave therapy involves passing short, high frequency acoustic pulses through the skin and into the penis. These waves break down any plaques within the blood vessels, encourage the formation of new vessels, and stimulate repair and tissue regeneration.[60][61]

Focused shockwave therapy appears to work best for males with vasculogenic ED, which is a blood vessel disorder that affects blood flow to tissue in the penis. The treatment is painless and has no known side effects. Treatment with shockwave therapy can lead to a significant improvement of the IIEF (International Index of Erectile Function).[62][63][64]

Testosterone

Men with low levels of testosterone can experience ED. Taking testosterone may help maintain an erection.[65] Males with type 2 diabetes are twice as likely to have lower levels of testosterone, and are three times more likely to experience ED than non-diabetic men.[65]

Pumps

A vacuum erection device helps draw blood into the penis by applying negative pressure. This type of device is sometimes referred to as penis pump and may be used just prior to sexual intercourse. Several types of FDA approved vacuum therapy devices are available under prescription. When pharmacological methods fail, a purpose-designed external vacuum pump can be used to attain erection, with a separate compression ring fitted to the base of the penis to maintain it. These pumps should be distinguished from other penis pumps (supplied without compression rings) which, rather than being used for temporary treatment of impotence, are claimed to increase penis length if used frequently, or vibrate as an aid to masturbation. More drastically, inflatable or rigid penile implants may be fitted surgically.[11]

Vibrators

The vibrator was invented in the late 19th century as a medical instrument for pain relief and the treatment of various ailments. Sometimes described as a massager, the vibrator is used on the body to produce sexual stimulation. Several clinical studies have found vibrators to be an effective solution for Erectile Dysfunction.[66][67] Examples of FDA registered vibrators for erectile dysfunction include MysteryVibe's Tenuto[68] and Reflexonic's Viberect.[69]

Surgery

Often, as a last resort, if other treatments have failed, the most common procedure is prosthetic implants which involves the insertion of artificial rods into the penis.[10]: 26  Some sources show that vascular reconstructive surgeries are viable options for some people.[55]

Alternative medicine

The Food and Drug Administration (FDA) does not recommend alternative therapies to treat sexual dysfunction.[70] Many products are advertised as "herbal viagra" or "natural" sexual enhancement products, but no clinical trials or scientific studies support the effectiveness of these products for the treatment of ED, and synthetic chemical compounds similar to sildenafil have been found as adulterants in many of these products.[71][72][73][74][75] The FDA has warned consumers that any sexual enhancement product that claims to work as well as prescription products is likely to contain such a contaminant.[76] A 2021 review indicated that ginseng had "only trivial effects on erectile function or satisfaction with intercourse compared to placebo".[77]

History

An unhappy wife is complaining to the qadi about her husband's impotence. Ottoman miniature.

Attempts to treat the symptoms described by ED date back well over 1,000 years. In the 8th century, males of Ancient Rome and Greece wore talismans of rooster and goat genitalia, believing these talismans would serve as an aphrodisiac and promote sexual function.[78] In the 13th century, Albertus Magnus recommended ingesting roasted wolf penis as a remedy for impotence.[78] During the late 16th and 17th centuries in France, male impotence was considered a crime, as well as legal grounds for a divorce. The practice, which involved inspection of the complainants by court experts, was declared obscene in 1677.[79][80]

The first major publication describing a broad medicalization of sexual disorders was the first edition of the Diagnostic and Statistical Manual of Mental Disorders in 1952.[81] In the early 20th century, medical folklore held that 90-95% of cases of ED were psychological in origin, but around the 1980s research took the opposite direction of searching for physical causes of sexual dysfunction, which also happened in the 1920s and 30s.[82] Physical causes as explanations continue to dominate literature when compared with psychological explanations as of 2022.[83]

Treatments in the 80s for ED included penile implants and intracavernosal injections.[82] The first successful vacuum erection device, or penis pump, was developed by Vincent Marie Mondat in the early 1800s.[78] A more advanced device based on a bicycle pump was developed by Geddings Osbon, a Pentecostal preacher, in the 1970s. In 1982, he received FDA approval to market the product.[84] John R. Brinkley initiated a boom in male impotence treatments in the U.S. in the 1920s and 1930s, with radio programs that recommended expensive goat gland implants and "mercurochrome" injections as the path to restored male virility, including operations by surgeon Serge Voronoff.

Modern drug therapy for ED made a significant advance in 1983, when British physiologist Giles Brindley dropped his trousers and demonstrated to a shocked Urodynamics Society audience showing his papaverine-induced erection.[85] The current most common treatment for ED, the oral PDE5 inhibitor known as sildenafil (Viagra) was approved for use for Pfizer by the FDA in 1998, which at the time of release was the fastest selling drug in history.[81][86][87] Sildenafil largely replaced SSRI treatments for ED at the time[88] and proliferated new types of specialised pharmaceutical marketing which emphasised social connotations of ED and Viagra rather than its physical effects.[89][90]

Anthropology

Anthropological research presents ED not as a disorder but, as a normal, and sometimes even welcome sign of healthy aging. Wentzell's study of 250 Mexican males in their 50s and 60s found that "most simply did not see decreasing erectile function as a biological pathology".[91] The males interviewed described the decrease in erectile function "as an aid for aging in socially appropriate ways".[91] A common theme amongst the interviewees showed that respectable older males shifted their focus toward the domestic sphere into a "second stage of life".[91] The Mexican males of this generation often pursued sex outside of marriage; decreasing erectile function acted as an aid to overcoming infidelity thus helping to attain the ideal "second stage" of life.[91] A 56-year-old about to retire from the public health service said he would now "dedicate myself to my wife, the house, gardening, caring for the grandchildren—the Mexican classic".[91] Wentzell found that treating ED as a pathology was antithetical to the social view these males held of themselves, and their purpose at this stage of their lives.

In the 20th and 21st centuries, anthropologists investigated how common treatments for ED are built upon assumptions of institutionalized social norms. In offering a range of clinical treatments to 'correct' a person's ability to produce an erection, biomedical institutions encourage the public to strive for prolonged sexual function. Anthropologists argue that a biomedical focus places emphasis on the biological processes of fixing the body thereby disregarding holistic ideals of health and aging.[92] By relying on a wholly medical approach, Western biomedicine can become blindsided by bodily dysfunctions which can be understood as appropriate functions of age, and not as a medical problem.[93] Anthropologists understand that a biosocial approach to ED considers a person's decision to undergo clinical treatment more likely a result of "society, political economy, history, and culture" than a matter of personal choice.[92] In rejecting biomedical treatment for ED, males can challenge common forms of medicalized social control by deviating from what is considered the normal approach to dysfunction.

Lexicology

The Latin term impotentia coeundi describes simple inability to insert the penis into the vagina; it is now mostly replaced by more precise terms, such as erectile dysfunction (ED). The study of ED within medicine is covered by andrology, a sub-field within urology. Research indicates that ED is common, and it is suggested that approximately 40% of males experience symptoms compatible with ED, at least occasionally.[94] The condition is also on occasion called phallic impotence.[95] Its antonym, or opposite condition, is priapism.[96][97]

References

  1. ^ a b c Gökçe Mİ, Yaman Ö (September 2017). "Erectile dysfunction in the elderly male". Turkish Journal of Urology. 43 (3): 247–251. doi:10.5152/tud.2017.70482 (inactive 1 July 2025). PMC 5562240. PMID 28861293.{{cite journal}}: CS1 maint: DOI inactive as of July 2025 (link)
  2. ^ a b c Shamloul R, Bella AJ (2014-03-01). Erectile Dysfunction. Biota Publishing. pp. 6–. ISBN 978-1-61504-653-9. Archived from the original on 2023-01-10. Retrieved 2015-10-27.
  3. ^ a b c d e f Cunningham GR, Rosen RC. Overview of male sexual dysfunction. In: UpToDate, Martin KA (Ed), UpToDate, Waltham, MA, 2018.
  4. ^ a b c d e f g h i j k l m n o p Chowdhury SH, Cozma AI, Chowdhury JH. Erectile Dysfunction. Essentials for the Canadian Medical Licensing Exam: Review and Prep for MCCQE Part I. 2nd edition. Wolters Kluwer. Hong Kong. 2017.
  5. ^ a b Azadzoi KM, Siroky MB (2006). "Neurogenic Sexual Dysfunction in and". Male Sexual Function. Current Clinical Urology. Cham, Switzerland: Springer Nature. pp. 195–226. doi:10.1007/978-1-59745-155-0_9. ISBN 978-1-59745-155-0. S2CID 67897138.
  6. ^ a b c Lue TF (2006). "Causes of Erectile Dysfunction". Erectile dysfunction. Armenian Health Network, Health.am. Archived from the original on 2021-02-22. Retrieved 2007-10-07.
  7. ^ a b "Can Your Diet Cause Erectile Dysfunction?". www.clevelandclinic.org. Cleveland, Ohio: Cleveland Clinic. 20 January 2021. Archived from the original on 4 January 2022. Retrieved 4 January 2022.
  8. ^ a b "Erectile Dysfunction & Heart Disease". www.clevelandclinic.org. Cleveland, Ohio: Cleveland Clinic. 17 July 2019. Archived from the original on 4 January 2022. Retrieved 4 January 2022.
  9. ^ a b Papadopoulou E, Varouktsi A, Lazaridis A, Boutari C, Doumas M (July 2015). "Erectile dysfunction in chronic kidney disease: From pathophysiology to management". World Journal of Nephrology. 4 (3): 379–387. doi:10.5527/wjn.v4.i3.379. PMC 4491929. PMID 26167462.
  10. ^ a b c d e f g Wespes E (chair), et al. Guidelines on Male Sexual Dysfunction: Erectile dysfunction and premature ejaculation. European Association of Urology 2013: 6, 18–19 
  11. ^ a b "Erectile Dysfunction". The Lecturio Medical Concept Library. Archived from the original on 21 July 2021. Retrieved 21 July 2021.
  12. ^ a b c d "Treatment for erectile dysfunction |". US National Institute of Diabetes and Digestive and Kidney Diseases. Archived from the original on 2021-02-22. Retrieved 2019-08-04.
  13. ^ a b Vardi M, Nini A (January 2007). "Phosphodiesterase inhibitors for erectile dysfunction in patients with diabetes mellitus". The Cochrane Database of Systematic Reviews. 2009 (1): CD002187. doi:10.1002/14651858.CD002187.pub3. PMC 6718223. PMID 17253475.
  14. ^ a b c d Rosen RC, Khera M (2023). "Epidemiology and etiologies of male sexual dysfunction". In O'Leary MP, Cummingham GR (eds.). UpToDate. Post, TW. Waltham, MA: UpToDate.
  15. ^ Montague DK, Jarow JP, Broderick GA, Dmochowski RR, Heaton JP, Lue TF, et al. (July 2005). Smith J Jr (ed.). "Chapter 1: The management of erectile dysfunction: an AUA update". The Journal of Urology. 174 (1). Elsevier: 230–39. doi:10.1097/01.ju.0000164463.19239.19. ISSN 1527-3792. PMID 15947645. S2CID 1761196.
  16. ^ Frederick LR, Cakir OO, Arora H, Helfand BT, McVary KT (October 2014). Mulhall JP (ed.). "Undertreatment of erectile dysfunction: claims analysis of 6.2 million patients". The Journal of Sexual Medicine. 11 (10). John Wiley & Sons on behalf of the International Society for Sexual Medicine: 2546–53. doi:10.1111/jsm.12647. ISSN 1743-6109. PMID 25059314. S2CID 9708426.
  17. ^ Bauer SR, Breyer BN, Stampfer MJ, Rimm EB, Giovannucci EL, Kenfield SA (November 2020). Rivara FP (ed.). "Association of Diet With Erectile Dysfunction Among Men in the Health Professionals Follow-up Study". JAMA Network Open. 3 (11). American Medical Association: e2021701. doi:10.1001/jamanetworkopen.2020.21701. ISSN 2574-3805. PMC 7666422. PMID 33185675. S2CID 226850997.
  18. ^ Lu Y, Kang J, Li Z, Wang X, Liu K, Zhou K, et al. (May 2021). "The association between plant-based diet and erectile dysfunction in Chinese men". Basic and Clinical Andrology. 31 (1). BioMed Central: 11. doi:10.1186/s12610-021-00129-5. ISSN 2051-4190. PMC 8117588. PMID 33980148. S2CID 234476038.
  19. ^ Russo GI, Broggi G, Cocci A, Capogrosso P, Falcone M, Sokolakis I, et al. (November 2021). "Relationship between Dietary Patterns with Benign Prostatic Hyperplasia and Erectile Dysfunction: A Collaborative Review". Nutrients. 13 (11). MDPI on behalf of the EAU-YAU Sexual and Reproductive Health Group: 4148. doi:10.3390/nu13114148. ISSN 2072-6643. PMC 8618879. PMID 34836403. S2CID 244453931.
  20. ^ Delgado PL, Brannan SK, Mallinckrodt CH, Tran PV, McNamara RK, Wang F, et al. (June 2005). Freeman MP (ed.). "Sexual functioning assessed in 4 double-blind placebo- and paroxetine-controlled trials of duloxetine for major depressive disorder". The Journal of Clinical Psychiatry. 66 (6). Physicians Postgraduate Press: 686–92. doi:10.4088/JCP.v66n0603. ISSN 1555-2101. PMID 15960560. S2CID 39581439.
  21. ^ Cará AM, Lopes-Martins RA, Antunes E, Nahoum CR, De Nucci G (1995). "The role of histamine in human penile erection". British Journal of Urology. 75 (2): 220–224. doi:10.1111/j.1464-410x.1995.tb07315.x. PMID 7850330.
  22. ^ "Drugs That Can Cause Erectile Dysfunction".
  23. ^ "8 Substances That May be Killing Your Erection". 26 August 2015. Archived from the original on 9 December 2022. Retrieved 9 December 2022.
  24. ^ "Male Sexual Dysfunction Epidemiology". Erectile dysfunction. Armenian Health Network, Health.am. 2006. Archived from the original on 2021-02-22. Retrieved 2007-10-07.
  25. ^ a b "Erectile Dysfunction Causes". Erectile Dysfunction. Healthcommunities.com. 1998. Archived from the original on 2007-10-09. Retrieved 2007-10-07.
  26. ^ Meldrum DR, Morris MA, Gambone JC, Esposito K (December 2020). "Aging and erectile function". The Aging Male. 23 (5): 1115–1124. doi:10.1080/13685538.2019.1686756. PMID 31724458. S2CID 208018226.
  27. ^ Peate I (2005). "The effects of smoking on the reproductive health of men". Br J Nurs. 14 (7): 362–66. doi:10.12968/bjon.2005.14.7.17939. PMID 15924009.
  28. ^ Korenman SG (2004). "Epidemiology of erectile dysfunction". Endocrine. 23 (2–3): 87–91. doi:10.1385/ENDO:23:2-3:087. PMID 15146084. S2CID 29133230.
  29. ^ Kendirci M, Nowfar S, Hellstrom WJ (2005). "The impact of vascular risk factors on erectile function". Drugs of Today. 41 (1): 65–74. doi:10.1358/dot.2005.41.1.875779. PMID 15753970.
  30. ^ Verze P, Margreiter M, Esposito K, Montorsi P, Mulhall J (2015). "The Link Between Cigarette Smoking and Erectile Dysfunction: A Systematic Review". European Urology Focus. 1 (1): 39–46. doi:10.1016/j.euf.2015.01.003. PMID 28723353.
  31. ^ Sansone A, Mollaioli D, Ciocca G, Limoncin E, Colonnello E, Vena W, et al. (February 2021). "Addressing male sexual and reproductive health in the wake of COVID-19 outbreak". Journal of Endocrinological Investigation. 44 (2): 223–231. doi:10.1007/s40618-020-01350-1. PMC 7355084. PMID 32661947.
  32. ^ Tian Y, Zhou LQ (February 2021). "Evaluating the impact of COVID-19 on male reproduction". Reproduction. 161 (2): R37 – R44. doi:10.1530/rep-20-0523. PMID 33434886. S2CID 229455124.
  33. ^ a b Zieren J, Menenakos C, Paul M, Müller JM (2005). "Sexual function before and after mesh repair of inguinal hernia". Journal of Pharmaceutical and Biomedical Analysis. 12 (1): 35–38. doi:10.1111/j.1442-2042.2004.00983.x. PMID 15661052. S2CID 30209465.
  34. ^ Sommer F, Goldstein I, Korda JB (July 2010). "Bicycle riding and erectile dysfunction: a review". The Journal of Sexual Medicine. 7 (7): 2346–58. doi:10.1111/j.1743-6109.2009.01664.x. PMID 20102446. S2CID 34409059.
  35. ^ Huang V, Munarriz R, Goldstein I (September 2005). "Bicycle riding and erectile dysfunction: an increase in interest (and concern)". The Journal of Sexual Medicine. 2 (5): 596–604. doi:10.1111/j.1743-6109.2005.00099.x. PMID 16422816.
  36. ^ Robinson M, Wilson G (July 11, 2011). "Porn-Induced Sexual Dysfunction: A Growing Problem". Psychology Today.
  37. ^ Whelan G, Brown J (September 2021). "Pornography Addiction: An Exploration of the Association Between Use, Perceived Addiction, Erectile Dysfunction, Premature (Early) Ejaculation, and Sexual Satisfaction in Males Aged 18-44 Years". The Journal of Sexual Medicine. 18 (9): 1582–1591. doi:10.1016/j.jsxm.2021.06.014. ISSN 1743-6109. PMID 34400111. There was no evidence for an association between internet pornography use with erectile dysfunction, premature ejaculation, or sexual satisfaction. However, there were small to moderate positive correlations between self-perceived internet pornography addiction and erectile dysfunction, premature ejaculation or sexual dissatisfaction.
  38. ^ Grubbs JB, Gola M (January 2019). "Is Pornography Use Related to Erectile Functioning? Results From Cross-Sectional and Latent Growth Curve Analyses". The Journal of Sexual Medicine. 16 (1): 111–125. doi:10.1016/j.jsxm.2018.11.004. ISSN 1743-6109. PMID 30621919. S2CID 58592884. there was evidence of a positive, cross-sectional association between self-reported problematic use and ED, but no consistent association between mere use itself and ED.
  39. ^ Landripet I, Štulhofer A (May 2015). "Is Pornography Use Associated with Sexual Difficulties and Dysfunctions among Younger Heterosexual Men?". The Journal of Sexual Medicine. 12 (5): 1136–1139. doi:10.1111/jsm.12853. PMID 25816904.
  40. ^ Van Boom D (1 December 2020). "Porn addiction is ruining lives, but scientists aren't convinced it's real". CNET. Archived from the original on 3 November 2021. Retrieved 2 October 2021.
  41. ^ Jacobs T, Geysemans B, Van Hal G, Glazemakers I, Fog-Poulsen K, Vermandel A, et al. (September 2021). "Is online pornography consumption linked to offline sexual dysfunction in young men? A multivariate analysis based on an international web-based survey". JMIR Public Health and Surveillance. 7 (10). JMIR Publications Inc.: e32542. doi:10.2196/32542. PMC 8569536. PMID 34534092. Conclusions: This prevalence of ED in young men is alarmingly high and the results of presented study suggest a significant association with PPC.
  42. ^ Giatti S, Diviccaro S, Panzica G, Melcangi RC (August 2018). "Post-finasteride syndrome and post-SSRI sexual dysfunction: two sides of the same coin?". Endocrine. 61 (2): 180–193. doi:10.1007/s12020-018-1593-5. ISSN 1559-0100. PMID 29675596. S2CID 4974636.
  43. ^ Levine LA, Lenting EL (1995). "Use of nocturnal penile tumescence and rigidity in the evaluation of male erectile dysfunction". Urol. Clin. North Am. 22 (4): 775–88. PMID 7483128.
  44. ^ "Tests for Erection Problems". WebMD. WebMD, Inc. Archived from the original on 2018-03-08. Retrieved 2007-03-03.
  45. ^ "DSM". www.psychiatry.org. American Psychiatric Association. Archived from the original on 25 April 2025. Retrieved 2025-04-25. The Diagnostic and Statistical Manual of Mental Disorders, Fifth Edition, Text Revision (DSM-5-TR) features the most current text updates based on scientific literature with contributions from more than 200 subject matter experts.
  46. ^ a b c American Psychiatric Association, ed. (2022). Diagnostic and statistical manual of mental disorders: DSM-5-TR™ (Fifth edition, text revision ed.). Washington, DC: American Psychiatric Association Publishing. pp. 481–483. ISBN 978-0-89042-575-6.
  47. ^ "ICD-10 Version:2019". icd.who.int. Archived from the original on 2025-04-22. Retrieved 2025-04-25.
  48. ^ a b c d e f Originally copied from:
    Fernandes MA, de Souza LR, Cartafina LP (2018). "Ultrasound evaluation of the penis". Radiologia Brasileira. 51 (4): 257–261. doi:10.1590/0100-3984.2016.0152. PMC 6124582. PMID 30202130.
    CC BY 4.0 license
  49. ^ Vodušek DB, Deletis V (January 2002). "Intraoperative Neurophysiological Monitoring of the Sacral Nervous System". Neurophysiology in Neurosurgery, A Modern Intraoperative Approach: 153–165. doi:10.1016/B978-012209036-3/50011-1. ISBN 978-0-12-209036-3. S2CID 78605592.
  50. ^ Mulhall JP, Jenkins LC (2017), Mulhall JP, Jenkins LC (eds.), "Biothesiometry", Atlas of Office Based Andrology Procedures, Cham: Springer International Publishing, pp. 9–14, doi:10.1007/978-3-319-42178-0_2, ISBN 978-3-319-42176-6, retrieved 2022-02-27
  51. ^ Dawson C, Whitfield H (April 1996). "ABC of urology. Subfertility and male sexual dysfunction". BMJ. 312 (7035): 902–05. doi:10.1136/bmj.312.7035.902. PMC 2350600. PMID 8611887.
  52. ^ Parisot J, Yiou R, Salomon L, de la Taille A, Lingombet O, Audureau E (August 2018). "Erection hardness score for the evaluation of erectile dysfunction: further psychometric assessment in patients treated by intracavernous prostaglandins injections after radical prostatectomy". The Journal of Sexual Medicine. 11 (8): 2109–2118. doi:10.1111/jsm.12584. ISSN 1743-6109. PMID 24840184.
  53. ^ a b "Wonderful Medicine Free / Manhood Restored / The Great Hudyan". The Helena Weekly Independent. Helena, Montana, U.S. December 30, 1897. pp. 7–8. (and page 8)
  54. ^ "Phony Cures for Erectile Dysfunction". ftc.gov. U.S. Federal Trade Commission. Archived from the original on April 30, 2020.
  55. ^ a b Encyclopedia of Reproduction - 2nd Edition. Elsevier Science. 29 June 2018. ISBN 978-0-12-811899-3. Archived from the original on 2021-02-22. Retrieved 2019-01-17. {{cite book}}: |website= ignored (help)
  56. ^ "What is Erectile Dysfunction? - Urology Care Foundation". www.urologyhealth.org. Archived from the original on 2019-08-05. Retrieved 2019-08-05.
  57. ^ "Viagra can be sold over the counter". BBC News. 28 November 2017. Archived from the original on 22 February 2021. Retrieved 5 April 2018.
  58. ^ Bujdos B (16 November 2010). "New Topical Erectile Dysfunction Drug Vitaros Approved in Canada; Approved Topical Drug Testim Proves Helpful for Erectile Dysfunction". Archived from the original on 13 May 2011. Retrieved 15 April 2011.
  59. ^ Mulhall JP, Luo X, Zou KH, Stecher V, Galaznik A (December 2016). "Relationship between age and erectile dysfunction diagnosis or treatment using real-world observational data in the USA". International Journal of Clinical Practice. 70 (12): 1012–1018. doi:10.1111/ijcp.12908. PMC 5540144. PMID 28032424.
  60. ^ Vardi Y, Appel B, Jacob G, Massarwi O, Gruenwald I (August 2010). "Can low-intensity extracorporeal shockwave therapy improve erectile function? A 6-month follow-up pilot study in patients with organic erectile dysfunction". European Urology. 58 (2): 243–8. doi:10.1016/j.eururo.2010.04.004. PMID 20451317.
  61. ^ "Shockwave Therapy for Erectile Dysfunction | ED Clinics". 27 July 2020. Archived from the original on 23 September 2021. Retrieved 22 September 2021.
  62. ^ "International Index of Erectile Function (IIEF): Guidelines on Clinical Application of IIEF patient Questionnaire" (PDF). Department of Urology. Hills Road, Cambridge, CB2 0QQ: Addenbrooke's Hospital. Archived from the original (PDF) on 2021-10-26. Retrieved 2021-09-22.{{cite web}}: CS1 maint: location (link)
  63. ^ Man L, Li G (September 2018). "Low-intensity Extracorporeal Shock Wave Therapy for Erectile Dysfunction: A Systematic Review and Meta-analysis". Urology. 119: 97–103. doi:10.1016/j.urology.2017.09.011. PMID 28962876. S2CID 7048621.
  64. ^ Clavijo RI, Kohn TP, Kohn JR, Ramasamy R (January 2017). "Effects of Low-Intensity Extracorporeal Shockwave Therapy on Erectile Dysfunction: A Systematic Review and Meta-Analysis". The Journal of Sexual Medicine. 14 (1): 27–35. doi:10.1016/j.jsxm.2016.11.001. PMID 27986492.
  65. ^ a b "Men and diabetes". US Centers for Disease Control and Prevention. 2019-04-01. Archived from the original on 2021-02-22. Retrieved 2019-08-04.
  66. ^ Ismail EA, El-Sakka AI (2016-06-01). "Innovative trends and perspectives for erectile dysfunction treatment: A systematic review". Arab Journal of Urology. 14 (2): 84–93. doi:10.1016/j.aju.2016.04.002. ISSN 2090-598X. PMC 4963167. PMID 27493808.
  67. ^ Miranda EP, Taniguchi H, Cao DL, Hald GM, Jannini EA, Mulhall JP (2019-06-01). "Application of Sex Aids in Men With Sexual Dysfunction: A Review". The Journal of Sexual Medicine. 16 (6): 767–780. doi:10.1016/j.jsxm.2019.03.265. ISSN 1743-6095. PMC 8519170. PMID 31029536.
  68. ^ Rodríguez Martínez JE, Alcaina LR, Agullo GH (2022-11-01). "Improved erectile function after focal muscle vibrations therapy in a patient with neurogenic erectile dysfunction: a case report". The Journal of Sexual Medicine. 19 (11, Supplement 4): S69. doi:10.1016/j.jsxm.2022.08.012. ISSN 1743-6095. S2CID 253821604.
  69. ^ Clavell Hernandez J, Wu Q, Zhou X, Nguyen JN, Davis JW, Wang R (2018-07-01). "319 Penile vibratory stimulation in penile rehabilitation after radical prostatectomy: a randomized, controlled trial". The Journal of Sexual Medicine. Proceedings of the 21st World Meeting on Sexual Medicine. 15 (7, Supplement 3): S253 – S254. doi:10.1016/j.jsxm.2018.04.282. ISSN 1743-6095. S2CID 58240260.
  70. ^ "Dangers of Sexual Enhancement Supplements". Medscape. Archived from the original on 2021-02-22. Retrieved 2009-02-10.
  71. ^ Gryniewicz CM, Reepmeyer JC, Kauffman JF, Buhse LF (2009). "Detection of undeclared erectile dysfunction drugs and analogues in dietary supplements by ion mobility spectrometry". Journal of Pharmaceutical and Biomedical Analysis. 49 (3): 601–06. doi:10.1016/j.jpba.2008.12.002. PMID 19150190.
  72. ^ Choi DM, Park S, Yoon TH, Jeong HK, Pyo JS, Park J, et al. (2008). "Determination of analogs of sildenafil and vardenafil in foods by column liquid chromatography with a photodiode array detector, mass spectrometry, and nuclear magnetic resonance spectrometry". Journal of AOAC International. 91 (3): 580–88. doi:10.1093/jaoac/91.3.580. PMID 18567304.
  73. ^ Reepmeyer JC, Woodruff JT (2007). "Use of liquid chromatography-mass spectrometry and a chemical cleavage reaction for the structure elucidation of a new sildenafil analogue detected as an adulterant in an herbal dietary supplement". Journal of Pharmaceutical and Biomedical Analysis. 44 (4): 887–93. doi:10.1016/j.jpba.2007.04.011. PMID 17532168. Archived from the original on 2020-01-28. Retrieved 2019-07-02.
  74. ^ Reepmeyer JC, Woodruff JT, d'Avignon DA (2007). "Structure elucidation of a novel analogue of sildenafil detected as an adulterant in an herbal dietary supplement". Journal of Pharmaceutical and Biomedical Analysis. 43 (5): 1615–21. doi:10.1016/j.jpba.2006.11.037. PMID 17207601. Archived from the original on 2021-10-09. Retrieved 2019-07-02.
  75. ^ Enforcement Report for June 30, 2010 Archived June 25, 2016, at the Wayback Machine, United States Food and Drug Administration
  76. ^ Hidden Risks of Erectile Dysfunction "Treatments" Sold Online Archived 2019-04-23 at the Wayback Machine, United States Food and Drug Administration, February 21, 2009
  77. ^ Lee HW, Lee MS, Kim TH, Alraek T, Zaslawski C, Kim JW, et al. (April 2021). "Ginseng for erectile dysfunction". The Cochrane Database of Systematic Reviews. 2021 (4): CD012654. doi:10.1002/14651858.cd012654.pub2. PMC 8094213. PMID 33871063.
  78. ^ a b c McLaren A (2007). Impotence: A Cultural History. University of Chicago Press. ISBN 978-0-226-50076-8.
  79. ^ Roach M (2009). Bonk: The Curious Coupling of Science and Sex. New York: W.W. Norton & Co. pp. 149–52. ISBN 978-0-393-33479-1.
  80. ^ Darmon P (1985). Trial by Impotence: Virility and Marriage in Pre-Revolutionary France. Vintage/Ebury. ISBN 978-0-7011-2915-6.
  81. ^ a b Hart G, Wellings K (2002-04-13). "Sexual behaviour and its medicalisation: in sickness and in health". BMJ. 324 (7342): 896–900. doi:10.1136/bmj.324.7342.896. ISSN 0959-8138. PMC 1122837. PMID 11950742. Archived from the original on 2023-12-23. Retrieved 2023-12-23.
  82. ^ a b Tiefer L (1996). "The medicalization of sexuality: Conceptual, normative, and professional issues". Annual Review of Sex Research. 7 (1): 252–282. doi:10.1080/10532528.1996.10559915 – via EBSCO.
  83. ^ Grunt-Mejer K (2022-07-03). "The history of the medicalisation of rapid ejaculation—A reflection of the rising importance of female pleasure in a phallocentric world". Psychology & Sexuality. 13 (3): 565–582. doi:10.1080/19419899.2021.1888312. ISSN 1941-9899. S2CID 233924065. Archived from the original on 2023-12-23. Retrieved 2023-12-23.
  84. ^ Hoyland K, Vasdev N, Adshead J (2013). "The use of vacuum erection devices in erectile dysfunction after radical prostatectomy". Reviews in Urology. 15 (2): 67–71. PMC 3784970. PMID 24082845.
  85. ^ Klotz L (November 2005). "How (not) to communicate new scientific information: a memoir of the famous Brindley lecture". BJU International. 96 (7): 956–7. doi:10.1111/j.1464-410X.2005.05797.x. PMID 16225508. S2CID 38931340.
  86. ^ Valiquette L (February 2003). "A historical review of erectile dysfunction". The Canadian Journal of Urology. 10 (Suppl 1): 7–11. PMID 12625844. Archived from the original on 2022-02-03. Retrieved 2019-02-16.
  87. ^ Pacey S (2008-08-01). "The medicalisation of sex: a barrier to intercourse?". Sexual and Relationship Therapy. 23 (3): 183–187. doi:10.1080/14681990802221092. ISSN 1468-1994. S2CID 144685850.
  88. ^ Štulhofer A (2015-04-20). "Medicalization of sexuality". The International Encyclopedia of Human Sexuality. pp. 721–817. doi:10.1002/9781118896877.wbiehs297. ISBN 978-1-4051-9006-0.
  89. ^ Gurevich M, Cormier N, Leedham U, Brown-Bowers A (August 2018). "Sexual dysfunction or sexual discipline? Sexuopharmaceutical use by men as prevention and proficiency". Feminism & Psychology. 28 (3): 309–330. doi:10.1177/0959353517750682. ISSN 0959-3535. S2CID 149254089. Archived from the original on 2023-12-13. Retrieved 2023-12-23.
  90. ^ Tiefer L (2001-05-01). "A new view of women's sexual problems: Why new? Why now?". The Journal of Sex Research. 38 (2): 89–96. doi:10.1080/00224490109552075. ISSN 0022-4499. S2CID 144377564.
  91. ^ a b c d e Wentzell E, Labuski C (2020). "Role of Medical Anthropology in Understanding Cultural Differences in Sexuality". Cultural Differences and the Practice of Sexual Medicine. Trends in Andrology and Sexual Medicine. Cham: Springer International Publishing. pp. 23–35. doi:10.1007/978-3-030-36222-5_2. ISBN 978-3-030-36221-8. S2CID 214042890. Archived from the original on 3 February 2022. Retrieved 28 August 2021.
  92. ^ a b Farmer P, Kleinman A, Kim J, Basilico M (2013). Reimagining Global Health: An Introduction. Berkeley: University of California Press. pp. 17–20. ISBN 978-0-520-27197-5.
  93. ^ Wentzell E, Salmerón J (2009). "Prevalence of erectile dysfunction and its treatment in a Mexican population: distinguishing between erectile function change and dysfunction". Journal of Men's Health. 6 (1): 56–62. doi:10.1016/j.jomh.2008.09.009.
  94. ^ Schouten BW, Bohnen AM, Groeneveld FP, Dohle GR, Thomas S, Bosch JL (July 2010). "Erectile dysfunction in the community: trends over time in incidence, prevalence, GP consultation and medication use – the Krimpen study: trends in ED". J Sex Med. 7 (7): 2547–53. doi:10.1111/j.1743-6109.2010.01849.x. PMID 20497307.
  95. ^ Kahane C (20 September 2011). "Bad Timing: The Problematics of Intimacy in On Chesil Beach". PsyArt. Archived from the original on 19 October 2021. Retrieved 16 October 2021.
  96. ^ Allgeier A (1995). Sexual interactions. D.C. Heath. p. 243.
  97. ^ Grimes J (2013). Sexually Transmitted Disease: An Encyclopedia of Diseases, Prevention, Treatment and Issues. p. 496.

Further reading