Enthesitis

Enthesitis
Typical joint showing the entheses
SpecialtyRheumatology

Enthesitis is inflammation of the entheses (singular: enthesis), the sites where tendons, ligaments and joint capsules attach to bones.[1][2]

It is a type of enthesopathy, meaning any pathologic condition of the entheses, with or without inflammation. There are some cases of isolated, primary enthesitis which are very poorly studied and understood. It is known to be associated with other autoimmune diseases, like spondyloarthropathies and psoriasis (thought to often precede psoriatic arthritis). A common autoimmune enthesitis is at the heel, where the Achilles tendon attaches to the calcaneus.

It is associated with HLA B27 arthropathies, such as ankylosing spondylitis, psoriatic arthritis, and reactive arthritis.[3][4]

Signs and symptoms

Early clinical manifestations are an aching sensation akin to "working out too much", and it gets better with activity. It is worse in the morning (after sleeping and not moving). The muscle insertion hurts very focally as it joins into the bone, but there is little to no pain at all with passive motion.

Symptoms include multiple points of tenderness at the heel, tibial tuberosity, iliac crest, and other tendon insertion sites.

Diagnosis

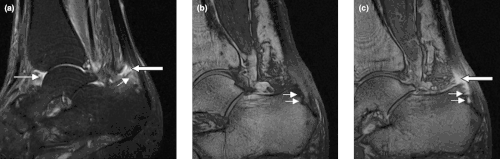
Sagittal magnetic resonance images of ankle region: psoriatic arthritis. (a) Short tau inversion recovery (STIR) image, showing high signal intensity at the Achilles tendon insertion (enthesitis, thick arrow) and in the synovium of the ankle joint (synovitis, long thin arrow). Bone marrow oedema is seen at the tendon insertion (short thin arrow). (b, c) T1 weighted images of a different section of the same patient, before (panel b) and after (panel c) intravenous contrast injection, confirm inflammation (large arrow) at the enthesis and reveal bone erosion at tendon insertion (short thin arrows).

Management

  • Non steroidal anti-inflammatory drugs (NSAIDs).[2]
  • corticosteroid injections.[2]
  • Disease-modifying anti-rheumatic drug (DMARD).

Anatomically close but separate conditions are:

  • Apophysitis, inflammation of the bony attachment, generally associated with overuse among growing children.[5][6][7]
  • Tendinopathy is a disorder of the tendon, and is associated with direct injury or repetitive activities.[8]

References

  1. ^ Maria Antonietta D'Agostino, MD; Ignazio Olivieri, MD (June 2006). "Enthesitis". Best Practice & Research Clinical Rheumatology. 20 (3). Clinical Rheumatology: 473–86. doi:10.1016/j.berh.2006.03.007. PMID 16777577.
  2. ^ a b c Watad, A; Cuthbert, RJ; Amital, H; McGonagle, D (30 May 2018). "Enthesitis: Much More Than Focal Insertion Point Inflammation". Current Rheumatology Reports. 20 (7): 41. doi:10.1007/s11926-018-0751-3. PMC 5976708. PMID 29846815.
  3. ^ Schett, G; Lories, RJ; D'Agostino, MA; Elewaut, D; Kirkham, B; Soriano, ER; McGonagle, D (November 2017). "Enthesitis: from pathophysiology to treatment". Nature Reviews Rheumatology (Review). 13 (12): 731–41. doi:10.1038/nrrheum.2017.188. PMID 29158573.
  4. ^ Schmitt, SK (June 2017). "Reactive Arthritis". Infectious Disease Clinics of North America (Review). 31 (2): 265–77. doi:10.1016/j.idc.2017.01.002. PMID 28292540.
  5. ^ "OrthoKids - Osgood-Schlatter's Disease".
  6. ^ "Sever's Disease". Kidshealth.org. Retrieved 2014-04-29.
  7. ^ Hendrix CL (2005). "Calcaneal apophysitis (Sever disease)". Clinics in Podiatric Medicine and Surgery. 22 (1): 55–62, vi. doi:10.1016/j.cpm.2004.08.011. PMID 15555843.
  8. ^ "Tendinitis". National Institute of Arthritis and Musculoskeletal and Skin Diseases. 12 April 2017. Archived from the original on October 4, 2017. Retrieved 18 November 2018.