Cutaneous horn

Cutaneous horn
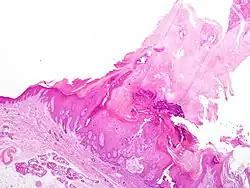
Actinic keratosis, pre-cancerous area of thick, scaly, or crusty skin (below) with cutaneous horn tissue (above)

Cutaneous horns, also known by the Latin name cornu cutaneum, are unusual keratinous skin tumors with the appearance of horns, or sometimes of wood or coral. Formally, this is a clinical diagnosis for a "conical projection above the surface of the skin."[1] They are usually small and localized but can, in very rare cases, be much larger. Although often benign, they can also be malignant or premalignant.[2]

Signs and symptoms

The lesion at the base of the keratin mound is benign in the majority of cases. Malignancy is present in up to 20% of cases, with squamous-cell carcinoma being the most common type. The incidence of squamous-cell carcinoma increases to 37% when the cutaneous horn is present on the penis.[3]

Cutaneous horn in right ear

Cause

The cause of cutaneous horns is still unknown, but it is believed that exposure to radiation can trigger the condition. This is evidenced by a higher rate of cases occurring on the face and hands, areas that are often exposed to sunlight. Moreover, there is a higher prevalence in Asian countries with a warm climate. Other cases have reported cutaneous horns arising from burn scars.[4] As with many other wart-like skin conditions, a link to the HPV virus family, especially the HPV-2 subtype has been suggested.[5]

Diagnosis

Histologically they are characterized by compact proliferation of keratin

Treatments

Treatment is surgical excision

Notable cases

  • Zhang Ruifang, aged 101 (as of 2010), living in Linlou Village, Henan province, China, has grown a cutaneous horn on her forehead, resembling what those who have examined her and her family call "Devil's Horns". Notably, this growth has expanded to reach a total of 6 cm (2.5 inches) in length. Another is forming on the opposite side of her forehead.[6]
  • Liang Xiuzhen, aged 87 (as of 2015) living in Guiyan village in Ziyang City, Sichuan province, China, grew a 13-centimetre (5.1-inch) pointed horn from her forehead, earning her the nickname "Unicorn Woman".[7]
  • Huang Yuanfan, aged 84 (living in Ziyuan, China).[8]
  • Shyam Lal Yadav, aged 74 (living in Madhya Pradesh, India) grew a 10-centimetre (4-inch) horn after an accident, and later had it surgically removed.[9]
  • Madame Dimanche ("Widow Sunday"), a French woman living in Paris in the early 19th century, grew a 24.9-centimetre (9.8-inch) horn from her forehead in six years from the age of 76 before it was successfully removed by French surgeon Br. Joseph Souberbeille (1754–1846). A wax model of her head is on display at the Mütter Museum, The College of Physicians of Philadelphia, US.[10]

See also

References

  1. ^ Copcu, Eray; Sivrioglu, Nazan; Culhaci, Nil (2004). "Cutaneous horns: are these lesions as innocent as they seem to be?". World Journal of Surgical Oncology. 2: 18. doi:10.1186/1477-7819-2-18. PMC 421749. PMID 15176977.
  2. ^ Yu, R.C.H.; Pryce, D.W.; MacFarlane, A.W.; Stewart, T.W. (1991). "A histopathological study of 643 cutaneous horns". British Journal of Dermatology. 124 (5): 449–52. doi:10.1111/j.1365-2133.1991.tb00624.x. PMID 2039721. S2CID 73180732.
  3. ^ Solivan, GA; Smith, KJ; James, WD (1990). "Cutaneous horn of the penis: Its association with squamous cell carcinoma and HPV-16 infection". Journal of the American Academy of Dermatology. 23 (5 Pt 2): 969–72. doi:10.1016/0190-9622(90)70315-9. PMID 2172337.
  4. ^ Nthumba, Peter M (2007). "Giant cutaneous horn in an African woman: a case report". Journal of Medical Case Reports. 1: 170. doi:10.1186/1752-1947-1-170. PMC 2225419. PMID 18053226.
  5. ^ Wang, W; Wang, C; Xu, S; Chen, C; Tong, X; Liang, Y; Dong, X; Lei, Y; Zheng, X (2007). "Detection of HPV-2 and identification of novel mutations by whole genome sequencing from biopsies of two patients with multiple cutaneous horns". Journal of Clinical Virology. 39 (1): 34–42. doi:10.1016/j.jcv.2007.01.002. PMID 17368088.
  6. ^ Writers, Staff. (2010-03-09) Chinese woman Zhang Ruifang, aged 101, grows 'devil' horn Archived 2011-06-14 at the Wayback Machine. Herald Sun. Retrieved on 2010-10-27.
  7. ^ "'Unicorn woman' set to have 'horn' removed from head after 13cm spike stops OAP sleeping". Mirror Online. 27 August 2015. Retrieved 27 August 2015.
  8. ^ "China's Huang Yuanfan Sprouts 3-Inch Horn From Head". 10 January 2011. Archived from the original on 22 February 2011.
  9. ^ "74-year-old MP man grows devil's horn after injury". India Today. 14 September 2009.
  10. ^ The Mütter Museum. Corkscrew-balloon.com (2003-05-26). Retrieved on 2010-10-27.

Further reading