Acetobacterium
| Acetobacterium | |
|---|---|
| |
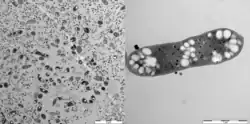
| Acetobacterium woodii on the right and is getting fermentated as shown on the left | |
| Scientific classification | |
| Domain: | |
| Phylum: | |
| Class: | |
| Order: | |
| Family: | |
| Genus: | Acetobacterium Balch et al.[1]
|
| Type species | |
| Acetobacterium woodii Balch et al. 1977
| |
| Species | |
| |
Acetobacterium is a genus of anaerobic, Gram-positive bacteria that belong to the Eubacteriaceae family. The type species of this genus is Acetobacterium woodii.[1] The name, Acetobacterium, has originated because they are acetogens, predominantly making acetic acid as a byproduct of anaerobic metabolism. Most of the species reported in this genus are homoacetogens, i.e. solely producing acetic acid as their metabolic byproduct. They should not be confused with acetic acid bacteria which are aerobic, Gram-negative Alphaproteobacteria.
Other acetogens use the Wood–Ljungdahl pathway to reduce CO or CO2 and produce acetate, but what distinguishes A.woodii and other Acetobacterium from other acetogens is that it conserves energy by using an Rnf complex to create a sodium gradient rather than a proton gradient. This means that A.woodii would need sodium in its environment in order to make ATP.[2]
When reducing CO2 to acetate the Acetobacterium uses the Wood–Ljungdahl pathway with CO2 as the electron acceptor. However, the Acetobacterium can use other electron acceptors like caffeate.[3] To use caffeate as an electron acceptor the bacterium couples hydrogen dependent caffeate reduction with electrons from hydrogen and uses sodium ions as coupling ions. The step in the electron transport chain that creates the sodium gradient is the ferredoxin-dependent reduction of NAD+.[4]
One application of Acetobacterium, is that A. woodii could be used in the transformation of tetrachloromethane to dichloromethane and carbon dioxide by reductive dechlorinations, but the reactions taken to get to the final product are unknown.[5] This reaction is useful because the products, CO2 and dichloromethane are less toxic than tetrachloromethane. Another application of A.woodii is that it can reduce the effects of greenhouse gases since A.woodii can be used to convert CO2 and CO into acetyl-CoA which could then be used to make other chemicals like ethanol and acetate.[6] The production of ethanol by Acetobacterium using chemolithotrophic methods is important because ethanol can be used as a biofuel.[2] By using the ethanol that is produced by the bacterium researchers aim to create a sustainable way to create energy.[6]
Phylogeny
The currently accepted taxonomy is based on the List of Prokaryotic names with Standing in Nomenclature (LPSN)[7] and National Center for Biotechnology Information (NCBI)[8]
| 16S rRNA based LTP_10_2024[9][10][11] | 120 marker proteins based GTDB 09-RS220[12][13][14] | ||||||||||||||||||||||||||||||||||||||||||||||||||||||||||||||||||||||||||||||||||||
|---|---|---|---|---|---|---|---|---|---|---|---|---|---|---|---|---|---|---|---|---|---|---|---|---|---|---|---|---|---|---|---|---|---|---|---|---|---|---|---|---|---|---|---|---|---|---|---|---|---|---|---|---|---|---|---|---|---|---|---|---|---|---|---|---|---|---|---|---|---|---|---|---|---|---|---|---|---|---|---|---|---|---|---|---|---|
|
|
See also
References
- ^ a b Balch, W. E.; Schoberth, S.; Tanner, R. S.; Wolfe, R. S. (1977). "Acetobacterium, a New Genus of Hydrogen-Oxidizing, Carbon Dioxide-Reducing, Anaerobic Bacteria". International Journal of Systematic Bacteriology. 27 (4): 355. doi:10.1099/00207713-27-4-355.
- ^ a b Schiel-Bengelsdorf, Bettina; Dürre, Peter (2012-07-16). "Pathway engineering and synthetic biology using acetogens". FEBS Letters. 586 (15): 2191–2198. doi:10.1016/j.febslet.2012.04.043. ISSN 1873-3468. PMID 22710156.
- ^ Müller, Volker; Imkamp, Frank; Biegel, Eva; Schmidt, Silke; Dilling, Sabrina (2008-03-01). "Discovery of a Ferredoxin:NAD+-Oxidoreductase (Rnf) in Acetobacterium woodii". Annals of the New York Academy of Sciences. 1125 (1): 137–146. doi:10.1196/annals.1419.011. ISSN 1749-6632.
- ^ Imkamp, Frank; Biegel, Eva; Jayamani, Elamparithi; Buckel, Wolfgang; Müller, Volker (2007-11-15). "Dissection of the Caffeate Respiratory Chain in the Acetogen Acetobacterium woodii: Identification of an Rnf-Type NADH Dehydrogenase as a Potential Coupling Site". Journal of Bacteriology. 189 (22): 8145–8153. doi:10.1128/jb.01017-07. ISSN 0021-9193. PMC 2168664. PMID 17873051.
- ^ Egli, C; Tschan, T; Scholtz, R; Cook, A M; Leisinger, T (November 1988). "Transformation of tetrachloromethane to dichloromethane and carbon dioxide by Acetobacterium woodii". Applied and Environmental Microbiology. 54 (11): 2819–2824. ISSN 0099-2240. PMC 204379. PMID 3145712.
- ^ a b Bertsch, Johannes; Müller, Volker (2015-09-01). "CO Metabolism in the Acetogen Acetobacterium woodii". Applied and Environmental Microbiology. 81 (17): 5949–5956. doi:10.1128/aem.01772-15. ISSN 0099-2240. PMC 4551271. PMID 26092462.
- ^ J.P. Euzéby. "Acetobacterium". List of Prokaryotic names with Standing in Nomenclature (LPSN). Retrieved 2022-09-09.
- ^ Sayers; et al. "Acetobacterium". National Center for Biotechnology Information (NCBI) taxonomy database. Retrieved 2022-09-09.
- ^ "The LTP". Retrieved 10 December 2024.
- ^ "LTP_all tree in newick format". Retrieved 10 December 2024.
- ^ "LTP_10_2024 Release Notes" (PDF). Retrieved 10 December 2024.
- ^ "GTDB release 09-RS220". Genome Taxonomy Database. Retrieved 10 May 2024.
- ^ "bac120_r220.sp_labels". Genome Taxonomy Database. Retrieved 10 May 2024.
- ^ "Taxon History". Genome Taxonomy Database. Retrieved 10 May 2024.
